大人のマウスピース矯正

03-6264-4884

キービジュアル

最短3ヵ月
44
万円(税込)/月々4,400
早くて安い「マウスピース矯正」

画像
画像
画像
  • 画像
  • 画像
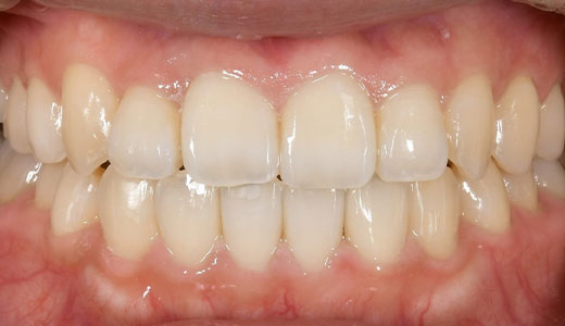
  • 治療前
  • 治療後

治療内容:マウスピース矯正(インビザライン)
治療期間:1年
費用:770,000円(税込)
リスクと副作用:痛み
歯を動かす際に歯根吸収や歯肉退縮が起こる場合があります。

  • 治療前
  • 治療後

治療内容:マウスピース矯正(インビザライン)
治療期間:1年
費用:770,000円(税込)
リスクと副作用:痛み
歯を動かす際に歯根吸収や歯肉退縮が起こる場合があります。

  • 治療前
  • 治療後

治療内容:マウスピース矯正(インビザライン)
治療期間:1年
費用:770,000円(税込)
リスクと副作用:痛み
歯を動かす際に歯根吸収や歯肉退縮が起こる場合があります。

  • 治療前
  • 治療後

治療内容:マウスピース矯正(インビザライン)
治療期間:1年半
費用:990,000円(税込)
リスクと副作用:痛み
歯を動かす際に歯根吸収や歯肉退縮が起こる場合があります。

  • 治療前
  • 治療後

治療内容:マウスピース矯正(インビザライン)
治療期間:1年11ヶ月
費用:1,150,000円(税込)
リスクと副作用:痛み
歯を動かす際に歯根吸収や歯肉退縮が起こる場合があります。

  • 治療前
  • 治療後

治療内容:マウスピース矯正(インビザライン)
治療期間:1年
費用:770,000円(税込)
リスクと副作用:痛み
歯を動かす際に歯根吸収や歯肉退縮が起こる場合があります。

必見】担当医しだいで治療期間/仕上がりに「大きな差」が

画像
画像

ここ数年注目を集めているマウスピース矯正。その人気の理由は明確です。透明で目立たず、取り外しができるこの治療法は、従来のワイヤー矯正の煩わしさを解消してくれます。今では、ほとんどの歯科医院で提供されており、選択肢の幅も広がっています。

しかし、意外と知られていない事実があります。それは、マウスピース矯正の仕上がりや治療期間が、治療を担当する歯科医師によって大きく左右されることです。

具体的な例を挙げると、同じ症例でも「治療期間が数年単位で異なる」というケースがあります。当初「2年で終わります」と説明されたのに、気づけば「5年経ってもまだ完了しない」といった状況に陥ることも珍しくありません。

同じ装置を使っているのに、どうしてそんなに差が出るの?」と疑問に思う方も多いでしょう。その鍵は、診査・診断と治療設計の段階にあります。この初期の工程が、治療結果を大きく左右しているのです。

AI(人工知能)の設計通りに歯は動きません!

画像

マウスピース矯正が広く普及した背景には、AI(人工知能)の存在があります。ワイヤー矯正とは異なり、AIが多くの作業を担うため、矯正経験が全くないドクターでも導入しやすく、短期間で市場に広まったのです。

しかし、そのAIが万能だと思うのは早計です。現状の技術では、AIの精度にはまだまだ改善の余地があり、完全に頼れるとは言えません。

マウスピース矯正では、複数のマウスピースを順次交換しながら歯を動かしていきますが、AIが設計した計画通りに進めると、各マウスピースごとに約3%のズレが生じると言われています。10枚使用する頃には、約30%のズレが生まれる計算です。これでは、当初の目標から大きく外れてしまいます。

多くのドクターは、このズレに気づかないまま治療を続け、途中で「何かがおかしい」と感じるものの、その時点で1から治療をやり直す羽目になることが珍しくありません。また、場合によっては、ズレを修正しないまま治療を終えてしまい、結果的に患者さんの歯並びが不完全な状態で終了することもあります。

これが、現在のマウスピース矯正を取り巻く現実です。

「AI主導」と「人主導」の治療期間の比較

結論として、AI(人工知能)任せの治療では失敗が避けられない、という現実があります。このリスクを回避するためには、「豊富な知識と経験を持つ担当医が設計に積極的に関与すること」が不可欠です。次に示すのは、同じ症例を「AI主導」と「人主導」で治療した場合の期間にどのような違いが生まれるかを比較したものです。

画像
画像

同じ症例にもかかわらず、算出されるマウスピースの枚数に違いが生じ、その結果として治療期間に1年6ヶ月もの差が出た事例があります。これこそが、担当するドクターの「技術と経験の差」を如実に示しています。

当院では、マウスピース矯正の治療期間を可能な限り短縮することに成功しています。この成果が評判となり、口コミや紹介を通じて、毎月多くの患者さんが全国各地から足を運んでくださっています。

使用している「マウスピースメーカー」にご注意を!

画像
画像

担当医の「」によって治療期間が大幅に延びる可能性があることをお伝えしましたが、実はもう一つ見逃せない要素があります。それが、「マウスピースメーカー」による問題です。

現在、国内外には数多くのマウスピースメーカーが存在しています。メーカーごとに異なる特徴がある一方で、以下のようなメーカーには注意が必要です。

✅ 臨床実績が極めて少ないメーカー
✅ 安価である一方、品質に問題があるメーカー
✅ 日本で認証されていない材料を使用しているメーカー

当院では、米国のアライン社が開発した、世界シェアNo.1の「インビザライン」を採用しています。このマウスピース矯正は、世界100ヶ国以上で提供され、約1400万人以上が治療を受けた実績があります。これだけの数字が示すのは、インビザラインが多くのドクターに信頼されている確かな証拠です。さらに、部分矯正から全体矯正まで、幅広いニーズに応える柔軟性も備えています。

横顔(Eライン)の美しさも追求!

画像
  • 治療前
  • 治療後

治療内容:マウスピース矯正(インビザライン)
治療期間:1年
費用:770,000円(税込)
リスクと副作用:痛み
歯を動かす際に歯根吸収や歯肉退縮が起こる場合があります。

歯列矯正がもたらすメリットは、歯並びの改善だけではありません。横顔のフェイスライン、いわゆるEラインが整い、顔全体の印象が変わることもあります。特に「出っ歯」「受け口」「叢生(歯の重なり)」の矯正では、その効果を実感しやすいのが特徴です。

フェイスラインの変化と聞くと、美容整形を思い浮かべる方もいらっしゃるでしょう。美容整形は、短期間で目に見える結果が得られるという魅力がありますが、効果が永続しない可能性があるというデメリットがあります。

それに対して、歯列矯正による顔貌の変化は時間をかけて現れるものの、その効果は持続性が高く、患者さま自身が持つ自然な美しさを引き出します。このため、人工的な印象ではなく、あくまで「その人らしい美しさ」を求める方にとって理想的な方法です。

もしフェイスラインを整えるために美容整形を検討しているのであれば、歯列矯正という選択肢も視野に入れてみてはいかがでしょうか。気になる方は、ぜひお気軽にご相談ください。

他院で矯正治療を「断られた方」もお任せください!

画像

お口の状態によっては、矯正治療を断られることがあると耳にするかもしれません。特に、以下のような症状がある場合にはその可能性が高いとされています。

  • 進行した歯周病がある
  • 歯が欠損している部分がある
  • ブリッジやインプラントが施されている
  • 抜歯が必要なためマウスピース矯正では対応が難しい
画像

しかし、当院ではこれらに該当する患者さまでも、適切な処置を施すことでほとんどのケースにおいて治療を進めることが可能です。たとえば、歯周病の治療が必要な場合は、歯周病専門医と密に連携し、まず歯周病治療を優先的に行います。

また、歯が欠けている箇所やブリッジ、インプラントがあるケースでは、それぞれの状況に応じた治療計画を綿密に立て、補綴治療を組み合わせながら歯の移動を計画します。

さらに、「マウスピース矯正では抜歯が必要なケースに対応できない」といった誤った情報も一部で広まっていますが、豊富な知識と経験を持つ歯科医師であれば、抜歯を伴う症例でも適切に治療を進めることが可能です。

マウスピース矯正治療の「流れ」

STEP1カウンセリング

画像

矯正治療を始めるべきか悩んでいる」「まずは話を聞いてみたい」――そんな思いをお持ちの方へ。当院では無料カウンセリングを実施しています。歯並びやお口の状態を丁寧に診断し、理想的な治療プランや必要な期間、費用の詳細を分かりやすくご説明いたします。ぜひお気軽にご相談ください。

STEP2CT精密検査・レントゲン検査

画像

矯正治療を安全に進めるためには、歯を支える骨や歯根の状態を正確に把握することが極めて重要です。当院では、CT精密検査を導入し、すべての歯を1本ずつ丁寧に診断しています。この徹底した分析により、患者さまの歯をより安心・安全に動かす治療計画を立てることが可能です。

STEP3口腔内スキャン・写真撮影

画像

正確で快適な歯型取りを実現するために、当院ではデジタル機器を使用した口腔内スキャンを行っています。さらに、お口やお顔の写真を撮影し、治療に役立つ詳細な記録を残すことで、より精密な診断と計画を可能にしています。

STEP4シミュレーション作成

画像

当院では、検査やスキャンデータをもとに、患者さま一人ひとりの歯の状態を徹底的に分析し、治療計画を立案します。治療計画の作成は、コンピューター任せの自動処理ではありません。理事長自らが手作業で精密なシミュレーションを行い、より正確かつスムーズな治療を可能にしています。このアプローチが、当院の高品質な治療の礎となっています。

STEP5マウスピース発注

画像

治療用マウスピースは、世界的に信頼されるインビザラインへ発注します。当院では、治療の精度を高めるため、最初に約14枚(14週間分)のマウスピースを作製。この期間を「1クール」と定義し、患者さまの歯並びの進行状況を見ながら、必要なクール数を柔軟に調整していきます。

STEP6矯正スタート(IPR・アタッチメント装着)

画像

マウスピースが届いたら、ご来院いただき、いよいよ矯正治療のスタートです。また、以下のような処置を追加で行う場合があります。

■ IPR(歯間削合)
歯を並べるスペースを確保するための処置で、歯と歯の間に0.1mm単位の隙間をつくります。
■ アタッチメント装着
歯の表面に取り付ける白い装置です。

STEP7経過相談

画像

1クール目のマウスピースを使用した後、治療の進捗を確認するためにご来院いただきます。この際、最初に作成したシミュレーション通りに歯が動いているかを、モニターを使って患者さまと一緒に確認します。その後、治療が2クール目以降に進む場合は、以下のプロセスを1クールごとに繰り返しながら治療を進めていきます。

  • 口腔内スキャン・写真撮影
  • シミュレーション作成
  • マウスピース発注
  • 矯正再スタート(必要に応じてIPRやアタッチメント装着)
  • 経過相談

STEP8治療終了

画像

必要なクール数の治療が終了し、歯並びが理想的な形に整ったら、最終仕上げのためにご来院いただきます。この仕上げの段階では、以下の処置を行い、治療を完了します。

  • 噛み合わせの最終調整
  • アタッチメントの取り外し
  • 歯の形態修正
  • リテーナー作成

STEP9保定期間(リテーナー装着)

画像

矯正治療が終了した直後の歯並びは、まだ安定しておらず、動きやすい状態にあります。このタイミングでマウスピースや矯正器具を外した生活に戻ると、歯が元の位置に戻ってしまう「後戻り」が起きる可能性があります。これを防ぐために必要なのが、「保定装置(リテーナー)」の装着です。リテーナーは、一般的に最低でも2年間の継続的な使用が推奨されており、歯並びを安定させるための重要な役割を果たします。

注目!【ご契約の方限定】ホワイトニング剤プレゼント

画像

当院で矯正治療をご契約いただいた患者さまには、特典として7日分の「ホワイトニング剤」をプレゼントしています。白く美しい歯は、整った歯並びをさらに引き立て、より魅力的な笑顔を演出してくれます。

初診「個別」相談へのご案内

当院では、患者さんが抱えていらっしゃるお口のお悩みや疑問・不安などにお応えする機会を設けております。どんなことでも構いませんので、私たちにお話ししていただけたらと思います。
ご興味がある方は下記からお問い合わせください。

ご予約・お問い合わせ03-6264-4884

24時間WEB予約

〒104-0061
東京都中央区銀座一丁目4-8
銀座ビックウエストビル5号館5F

銀座一丁目駅 徒歩1分
有楽町駅 徒歩3分
銀座駅 徒歩4分