前歯の部分矯正

03-6264-4884

キービジュアル

1回4.4万(税込)のプランをご用意!

最短「3ヵ月」で
気になる前歯を整えます

画像
画像
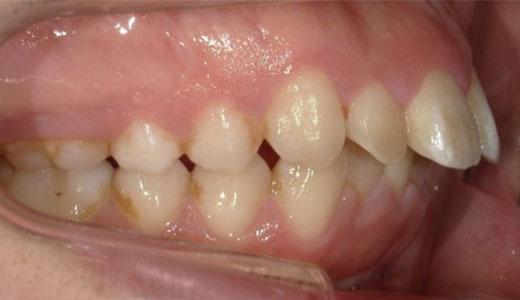
  • 治療前
  • 治療後

治療内容:マウスピース矯正(インビザライン)
治療期間:1年
費用:440,000円(税込)
リスクと副作用:痛み
歯を動かす際に歯根吸収や歯肉退縮が起こる場合があります。

  • 治療前
  • 治療後

治療内容:マウスピース矯正(インビザライン)
治療期間:1年
費用:770,000円(税込)
リスクと副作用:痛み
歯を動かす際に歯根吸収や歯肉退縮が起こる場合があります。

  • 治療前
  • 治療後

治療内容:マウスピース矯正(インビザライン)
治療期間:1年
費用:770,000円(税込)
リスクと副作用:痛み
歯を動かす際に歯根吸収や歯肉退縮が起こる場合があります。

  • 治療前
  • 治療後

治療内容:マウスピース矯正(インビザライン)
治療期間:1年
費用:770,000円(税込)
リスクと副作用:痛み
歯を動かす際に歯根吸収や歯肉退縮が起こる場合があります。

低価格+短期間の「前歯の部分矯正」

画像

「すきっ歯を改善したい・・・」
「八重歯が気になる・・・」
「前歯の捻じれが・・・・・・」
「あと数ミリだけ移動させたい・・・」


気になる部分の矯正は「マウスピース矯正」が得意とする治療です。部分矯正は比較的低価格で治療ができ、治療期間も短期間で済むケースが大ため、ぜひお気軽にお問合せください。

部分矯正の「メリット」とは?

  • 画像

    すきっ歯

  • 画像

    八重歯

  • 画像

    出っ歯

部分矯正は、歯並び全体の矯正にはないメリットがあります。それぞれご紹介します。
※部分的な矯正を行う場合、「噛みあわせ」の関係で、対象の歯以外の歯の矯正が必要になることもあります。

メリット① 「費用」を抑えることが可能

画像

歯を動かす本数が少なくて済むため、全体的な矯正治療と比較すると、費用を大幅に抑えることが可能です。詳細な料金については事前の診断を行った上で、丁寧にご説明させていただきます。

メリット② 透明で「目立ちにくい装置」

画像

当院で行う部分矯正は「マウスピース(インビザライン)」を利用した矯正になります。ワイヤー矯正と比較して目立ちにくく取り外ししやすい特徴があります。手軽に目立たない。それが当院の部分矯正です。詳しい情報は、「大人のマウスピース矯正」のページにてご確認いただけますので、ぜひご覧ください。

メリット③ 「治療期間」が短い

画像

部分矯正は、主に症状が比較的軽く、動かしやすい「前歯の部分」を対象とした治療法なので、歯の移動量が少なく、治療期間も短い傾向にあります。全体矯正の場合、通常1年~2年が一般的ですが、部分矯正では個人差はあるものの、「数か月」で治療を終えることが可能なケースも多く見られます。そのため、結婚式や就職活動など、人生の重要なイベントを控えた方々から特に高い評価をいただいております。

当院の矯正治療期間は「短い」のが特徴ですが、更に短くする取り組みも行っています。詳細は「短期矯正」をご覧ください。

「部分矯正」が対象になる歯並びとは?

画像

前歯の矯正治療と聞いても、具体的なイメージが湧かないという方も少なくないかもしれません。ここではその治療対象となる具体的なケースについてご紹介いたします。

ケース1すきっ歯/八重歯/出っ歯

前歯にわずかな隙間が見られる場合、その隙間は部分矯正を用いることで効果的に閉じることが可能です。また八重歯出っ歯も部分矯正の対象になります。

ケース2回転/斜めになった歯

特定の歯が回転/ 捻じれていたり、斜めに傾いている場合には、その歯だけを対象とした部分矯正を行います。

ケース3矯正のやり直し

過去に矯正治療を受けたものの、歯並びが崩れてきた(後戻りしてきた)ケースも部分矯正の対象となります。

初診「個別」相談へのご案内

当院では、患者さんが抱えていらっしゃるお口のお悩みや疑問・不安などにお応えする機会を設けております。どんなことでも構いませんので、私たちにお話ししていただけたらと思います。
ご興味がある方は下記からお問い合わせください。

ご予約・お問い合わせ03-6264-4884

24時間WEB予約

〒104-0061
東京都中央区銀座一丁目4-8
銀座ビックウエストビル5号館5F

銀座一丁目駅 徒歩1分
有楽町駅 徒歩3分
銀座駅 徒歩4分